ホワイトニング
Medical

歯の白さは、笑顔の印象を大きく左右します。
「清潔感がある」「若々しい」「きちんとしている」——そんな第一印象を支えるのが、白く自然な歯です。
TOKYO DENTAL OFFICE 西新宿では、歯を削ることなく本来の歯を美しく見せるホワイトニング治療を行っています。
患者さま一人ひとりのご希望やライフスタイルに合わせて、オフィス・ホーム・デュアルの3種類をご提案。
大切なご予定に向けて、あるいは日々のセルフケアとして——“あなたらしい美しさ”を引き出すサポートをしています。
ホワイトニングはすべての歯に効果があるわけではありません。下記の点について、事前にご確認をお願いします。
Medical

高濃度の薬剤と専用のライト(LED)を使用し、短時間で歯を白く仕上げる方法です。
国家資格を持つ歯科医師・歯科衛生士が施術を行いますので、安全性が高く即効性も期待できます。
歯の色やご希望の白さを確認します
施術の内容や注意点をご説明後、ご契約
薬剤の浸透をよくするためのクリーニング

ご自身のペースで取り組める、マウスピースを使用したホワイトニングです。
毎日少しずつ白くしていくため、自然な仕上がりで効果も長持ちしやすいのが特徴です。

最も効果的かつ、白さが長持ちしやすい方法です。
歯科医院で短期間にトーンアップを行い、ご自宅で白さを維持する理想的なプランです。
Medical
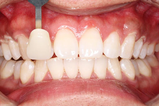
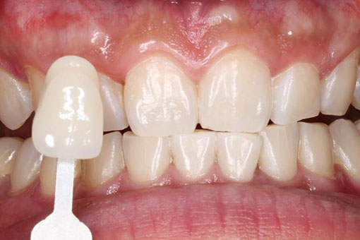
「もともとそこまで黄ばんでいないけど、写真に映ると歯の色が気になる」とご相談いただいた患者さま。
オフィスホワイトニングを2回行った結果、明るすぎず・白すぎず・肌にもなじむ自然な白さへとトーンアップ。
歯の色が均一になったことで清潔感が増し、ご本人からも「なんだか自分の歯が好きになれた気がする」とのお声をいただきました。
今後はこの状態をキープするため、ホームホワイトニングを併用予定です。

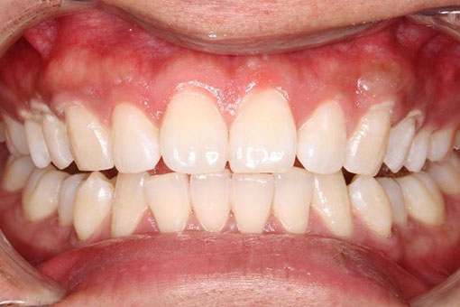
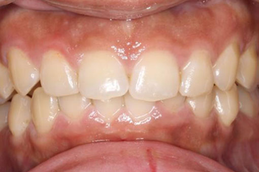
「歯の黄ばみが気になる」というお悩みでご来院された20代女性の患者さま。
ホワイトニング前はA3.5(やや黄味のある自然色)だった歯が、2回のオフィスホワイトニングにより、ワントーン以上明るい透明感のある白さへと変化しました。
白すぎず、“自分の歯が自然に明るくなった”と実感できる仕上がりに、患者さまも大満足。
今後は白さをキープするために、ホームホワイトニングの併用を予定しています。

「清潔感あるね」って言われたくて。20代男性のホワイトニング症例 マスクを外す機会が増え、「なんとなく歯の黄ばみが気になる」とご相談くださった20代男性の患者さま。
オフィスホワイトニング受けていただいたところ比較しても明らかなトーンアップが確認でき、歯の色だけでなく全体の清潔感や第一印象が格段にアップしました。
「職場でも“なんか雰囲気変わった?”って言われました」と、患者さまも笑顔でお話くださいました。

Medical

ホワイトニングの効果は永久ではありません。
着色の原因となる食品(コーヒー、紅茶、カレーなど)や喫煙は、施術後できる限り控えることで白さを保ちやすくなります。
また、ホワイトニング直後は薬剤が歯に浸透しやすいため、最初の3ヶ月間は月1回のプロケア(クリーニング)を併用されることをおすすめしています。
白さを維持しながら、口腔内の健康もしっかり守ることができます。
Medical
ホワイトニングは自由診療です。詳しい料金については、お電話またはWEB予約よりお気軽にご相談ください。
Medical
Medical
TOKYO DENTAL OFFICE 西新宿では、“歯を白くすること”はもちろん、“笑顔に自信を持てるようになること”を大切にしています。
ホワイトニングは単なる審美ではなく、ライフスタイルの質を高めるきっかけにもなります。
「どんなホワイトニングが自分に合っているのか分からない…」という方も、まずはお気軽にご相談ください。
あなたのペースで、理想の笑顔を一緒に叶えていきましょう。
